パシフィックニュース
V-trakで広がる可能性 ~その2~
車椅子/姿勢保持
V-trakが素敵なユーザーとの出会いを運んでくれました。
前号に続き、「うぇるぱ高知」スタッフ・高橋真子様(IT通信担当)より生活・精神面での変化をユーザー視点で発信していただきました。
高橋 真子(うぇるぱ高知)
2011-07-01
私の病について
わたしは高知県に住んでいます。非福山型先天性筋ジストロフィーという病気で、気管切開をし、24時間人工呼吸器をつけています。現在は、食事やトイレなど、日常生活行為はすべてにおいてほぼ全介助のため、重度訪問介護のサポートを受けながら在宅生活しています。訪問看護や訪問診療では医療面をフォローしてもらっています。気管切開をしていても、発声や嚥下は可能なので、食事は経口摂取がメインと胃ろう、コミュニケーションは会話が可能です。

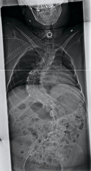
レントゲン写真
適合から生まれる可能性
さて、前回のパシフィックニュースでV-trakとの出会いを書きましたが、V-trakと出会って一年が過ぎました。
はじめは何度も調整しないといけない時がありましたが、調整を重ねる度に良い座位がとれるようになりました。V-trakと出会う前は、首がすわらずあごが前に出た状態で、視線は常に天井を見ている状態でした。V-trakと出会ってからもしばらくは微調整が続き、落ち着くまでは首もすわっていませんでした。しかし微調整をするたびにグングン首がすわるようになり、現在は完全に体幹へ首がのるようになり、支えがなくても首がすわるようになりました。首がすわることにより、携帯が自分で打てるようになりました。いつでも好きな時にメールをしたり、写メを撮ったり、コミュニケーションの拡がりを感じています。
また食事の時も姿勢を起こすことが出来るようになり、飲み込みがしやすくなったので誤嚥も少なくなりました。
わたしの側湾は、胸椎から三つのカーブがあります。その中でも、腰椎カーブがほぼ90℃あり、とても座位がとれる体ではありません。ですが、V-trakを導入してパーツを組み合わせ、起こせるところは起こすことによって体幹に首が乗り、こんなに側弯がひどくても良い座位はとれるのです。もっともっとV-trakの性能を沢山のセラピストやユーザーさんに知ってもらって、快適な車いす生活を送って欲しいです。

写真
現在の活動について
去年九月、高知県社会福祉協議会・介護普及・相談課へ、うぇるぱ高知の相談メンバーとして就職しました。
わたしもお世話になっている訪問看護ステーションで訪問している子どもたちのご両親は、子どもの成長場面において様々な選択をしないといけない状況におかれる時があります。就職した理由は、親の代わりはできませんが、意思表示が難しい子どもたちに代わって、本人の気持ちを話したり、ケアについてもメリット・デメリットの両面からアドバイスしたり、わたしの経験を生かせると考えたからです。
実際に訪問している子どもたちは重度の障害がある子が多く、今後、成長とともに気管切開や分離術、経管栄養を検討しないといけない子どもさんが多くおられます。
実際自分の子にメスを入れたり、苦しい思いをさせる親の気持ちは計り知れないものがあります。わたしは意思表示が出来、気管切開や胃ろうも自己決定しましたが、もしわたしが子どもの親だったらすごく悩むと思います。親の気持ちにはなれないけれど、経験してきた本人の立場から、アドバイスや相談を受けることにしました。
吸引器ひとつにしても、種類が沢山あり、その子どもさんや家族の方が使いやすい物を選べるよう、機器の種類や性能などを自分の知識として身につけて、今後、子どもさんやご家族の力になりたいと思っています。
新たな出会い
最近では、うぇるぱのメンバーと出かけることも多いです。4月のはじめには大阪で開催されたバリアフリー2011に行き、いつもお世話になっているパシフィックサプライの皆さんと会うことも出来ました。翌週には東京で開催されたキッズフェスタ2011に行きました。
呼吸器をつけて初めて飛行機に乗り、アンビューバッグを家に忘れる!というハプニングもありましたが、電車やモノレールにも乗り、高知とのバリアフリーの違いに驚きでした。キッズフェスタに行った理由は、今年初めて高知で子どものふくし機器展を開催する事もあり、どんな雰囲気でどういう機器を展示しているかを勉強したかったからです。会場では、『パシフィックニュースに出られてましたよね?V-trak見せてください!』と声を掛けてもらいました。
つい先日は、第10回高知ふくし機器展があり、キッズブースのスタッフとして3日間参加しました。第10回という記念の年でもあり、記念交流会や真夜中に居酒屋で二次会にも参加して、沢山のメーカーさんと交流が出来ました。
V-trakとの出会いにより、出来ることが増えて、生活が広がり、新たな自分の役割を見いだすことが出来るようになりました。これからもどんどん外に出かけていって、新しい出会いを楽しみたいと思います。

2011年4月、バリアフリー展

写真

高知ふくし機器展
関連情報
© 2017 Pacific Supply Co.,Ltd.
コンテンツの無断使用・転載を禁じます。
対応ブラウザ : Internet Explorer 10以上 、FireFox,Chrome最新版 、iOS 10以上・Android 4.4以上標準ブラウザ














